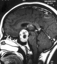
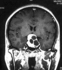
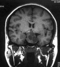
病历摘要:??患者男性,35岁。性功能减退2年,视力下降6月。既往体健。体检:神清,皮肤细腻,毛发稀疏。视力左眼0.3,右眼0.5,双瞳等大等圆,直径3....

作者: rantiku 人气: - 评论: 0
问题 病历摘要:??患者男性,35岁。性功能减退2年,视力下降6月。既往体健。体检:神清,皮肤细腻,毛发稀疏。视力左眼0.3,右眼0.5,双瞳等大等圆,直径3.5mm,对光反射稍迟钝,双颞侧偏盲,双眼底视神经乳头原发性萎缩,余神经系统未见异常。 关于鞍区周围的神经血管间隙的叙述哪些是正确的?
选项 A.视交叉前间隙为间隙1 B.视交叉后间隙为间隙2 C.视神经-颈内动脉间隙为间隙2 D.视神经-颈内动脉间隙为间隙3 E.颈内动脉外侧间隙为间隙3 F.颈内动脉外侧间隙为间隙4 G.终板池间隙为间隙4 H.终板池间隙为间隙5
答案 ACEG
解析 ACEG

猜你喜欢

发表评论
更多 网友评论0 条评论)
暂无评论

访问排行

Copyright © 2012-2014 恰考网 Inc. 保留所有权利。 Powered by tikuer.com

页面耗时0.0394秒, 内存占用1.03 MB, Cache:redis,访问数据库18次