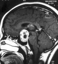
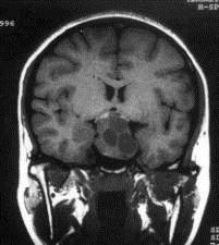
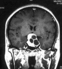
病历摘要:??患者男性,35岁。性功能减退2年,视力下降6月。既往体健。体检:神清,皮肤细腻,毛发稀疏。视力左眼0.3,右眼0.5,双瞳等大等圆,直径3....

作者: rantiku 人气: - 评论: 0
问题 病历摘要:??患者男性,35岁。性功能减退2年,视力下降6月。既往体健。体检:神清,皮肤细腻,毛发稀疏。视力左眼0.3,右眼0.5,双瞳等大等圆,直径3.5mm,对光反射稍迟钝,双颞侧偏盲,双眼底视神经乳头原发性萎缩,余神经系统未见异常。 患者出现上述情况,作何处理?提示:术后第?1日患者尿量300ml/小时,尿比重1.002
选项 A.口服卡马西平 B.口服双氢克尿塞 C.垂体后叶素皮下注射 D.静滴地塞米松 E.口服弥凝 F.肌注长效尿崩停 G.口服安体舒通
答案 C
解析 C

猜你喜欢

发表评论
更多 网友评论0 条评论)
暂无评论

访问排行

Copyright © 2012-2014 恰考网 Inc. 保留所有权利。 Powered by tikuer.com

页面耗时0.0868秒, 内存占用1.03 MB, Cache:redis,访问数据库19次