病历摘要:??患者男性,56岁,因右侧视力下降伴视野缺损2个月来院就诊,诉头痛,无明显头晕,无视物重影,无恶心呕吐,无肢体抽搐,无肢体乏力,胃纳佳,大小便...

作者: rantiku 人气: - 评论: 0
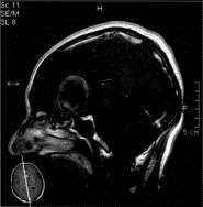
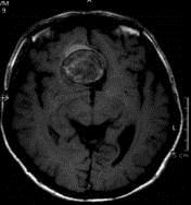
问题 病历摘要:??患者男性,56岁,因右侧视力下降伴视野缺损2个月来院就诊,诉头痛,无明显头晕,无视物重影,无恶心呕吐,无肢体抽搐,无肢体乏力,胃纳佳,大小便正常,既往史无特殊,入院检查:神志清楚,言语清楚,体毛分布正常,左侧视力4.6,右侧视力4.0,粗侧右颞侧视野缺损,左侧正常,颈软,四肢肌张力正常,肌力正常,病理征(-)。 大小为多少的动脉瘤称之为巨型动脉瘤?提示:该患者行全脑血管造影,诊断前交通巨型动脉瘤并部分血栓形成。
选项 A.≥10mm B.≥15mm C.≥20mm D.≥25mm E.≥30mm F.≥40mm
答案 D
解析 D

猜你喜欢

发表评论
更多 网友评论0 条评论)
暂无评论

访问排行

Copyright © 2012-2014 恰考网 Inc. 保留所有权利。 Powered by tikuer.com

页面耗时0.0342秒, 内存占用1.03 MB, Cache:redis,访问数据库19次