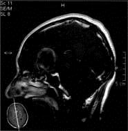
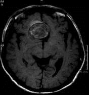
病历摘要:??患者男性,56岁,因右侧视力下降伴视野缺损2个月来院就诊,诉头痛,无明显头晕,无视物重影,无恶心呕吐,无肢体抽搐,无肢体乏力,胃纳佳,大小便...

作者: rantiku 人气: - 评论: 0
问题 病历摘要:??患者男性,56岁,因右侧视力下降伴视野缺损2个月来院就诊,诉头痛,无明显头晕,无视物重影,无恶心呕吐,无肢体抽搐,无肢体乏力,胃纳佳,大小便正常,既往史无特殊,入院检查:神志清楚,言语清楚,体毛分布正常,左侧视力4.6,右侧视力4.0,粗侧右颞侧视野缺损,左侧正常,颈软,四肢肌张力正常,肌力正常,病理征(-)。 巨型动脉瘤根据瘤腔内血栓的多少如何正确分型?
选项 A.小部分血栓形成 B.大部分血栓形成 C.部分血栓形成 D.不完全血栓形成 E.完全血栓形成 F.无血栓形成
答案 CEF
解析 CEF

猜你喜欢

发表评论
更多 网友评论0 条评论)
暂无评论

访问排行

Copyright © 2012-2014 恰考网 Inc. 保留所有权利。 Powered by tikuer.com

页面耗时0.0382秒, 内存占用1.03 MB, Cache:redis,访问数据库15次