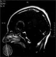
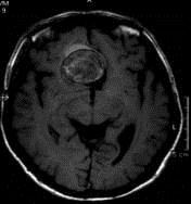
病历摘要:??患者男性,56岁,因右侧视力下降伴视野缺损2个月来院就诊,诉头痛,无明显头晕,无视物重影,无恶心呕吐,无肢体抽搐,无肢体乏力,胃纳佳,大小便...

作者: rantiku 人气: - 评论: 0
问题 病历摘要:??患者男性,56岁,因右侧视力下降伴视野缺损2个月来院就诊,诉头痛,无明显头晕,无视物重影,无恶心呕吐,无肢体抽搐,无肢体乏力,胃纳佳,大小便正常,既往史无特殊,入院检查:神志清楚,言语清楚,体毛分布正常,左侧视力4.6,右侧视力4.0,粗侧右颞侧视野缺损,左侧正常,颈软,四肢肌张力正常,肌力正常,病理征(-)。 在巨型动脉瘤手术中,若术中需要夹闭载瘤动脉,下述那些方法可先预测夹闭后的效果可能是好的?提示:本例病患采用开颅手术治疗
选项 A.Matas试验阴性 B.压迫患者颈动脉,健侧颈动脉造影,患侧大脑中动脉、前动脉不显影 C.压迫患者颈动脉,行椎动脉造影,患侧颈内动脉、大脑中动脉、前动脉显影 D.压迫患者颈动脉,行椎动脉造影,患侧颈内动脉不显影 E.经颅超声监护,临时夹闭颈动脉,大脑中动脉血流速度保持16cm/s以上 F.脑电图监护,临时夹闭颈动脉,脑电图提示慢波增多不显著
答案 ACEF
解析 ACEF

猜你喜欢

发表评论
更多 网友评论0 条评论)
暂无评论

访问排行

Copyright © 2012-2014 恰考网 Inc. 保留所有权利。 Powered by tikuer.com

页面耗时0.0378秒, 内存占用1.03 MB, Cache:redis,访问数据库19次