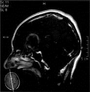
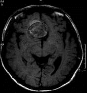
病历摘要:??患者男性,56岁,因右侧视力下降伴视野缺损2个月来院就诊,诉头痛,无明显头晕,无视物重影,无恶心呕吐,无肢体抽搐,无肢体乏力,胃纳佳,大小便...

作者: rantiku 人气: - 评论: 0
问题 病历摘要:??患者男性,56岁,因右侧视力下降伴视野缺损2个月来院就诊,诉头痛,无明显头晕,无视物重影,无恶心呕吐,无肢体抽搐,无肢体乏力,胃纳佳,大小便正常,既往史无特殊,入院检查:神志清楚,言语清楚,体毛分布正常,左侧视力4.6,右侧视力4.0,粗侧右颞侧视野缺损,左侧正常,颈软,四肢肌张力正常,肌力正常,病理征(-)。 有关巨型动脉瘤,下列说法正确的有?
选项 A.巨型动脉瘤多发生于大脑前动脉 B.发病形式有隐匿性的和突发的蛛网膜下腔出血 C.巨型动脉瘤不会出现缺血的症状 D.64%的病患者因为压迫的病灶性神经功能障碍就诊 E.该例患者夹闭瘤颈后,不须处理瘤体 F.该例患者瘤内有大量血栓形成,因此不会出血
答案 BD
解析 BD

猜你喜欢

发表评论
更多 网友评论0 条评论)
暂无评论

访问排行

Copyright © 2012-2014 恰考网 Inc. 保留所有权利。 Powered by tikuer.com

页面耗时0.0454秒, 内存占用1.03 MB, Cache:redis,访问数据库15次