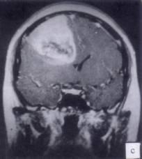
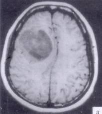
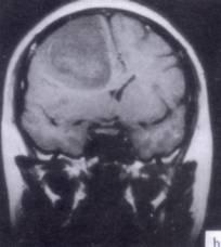
病历摘要:??患者男性,52岁。头痛伴呕吐2月,呕吐呈喷射性。既往身体健康。体检:神清,表情淡漠,反应迟钝,双眼底视神经乳头明显水肿,左鼻唇沟稍浅,左腹壁...

作者: rantiku 人气: - 评论: 0
问题 病历摘要:??患者男性,52岁。头痛伴呕吐2月,呕吐呈喷射性。既往身体健康。体检:神清,表情淡漠,反应迟钝,双眼底视神经乳头明显水肿,左鼻唇沟稍浅,左腹壁反射减弱,左上下肢肌力4级,左Babinski征(-)。 术前的检查和治疗应包括下列哪些??提示:初步诊断考虑胶质瘤,拟手术治疗
选项 A.脑血管造影 B.静滴甘露醇 C.术前三天静滴抗生素 D.口服德巴金 E.心电图 F.胸片 G.肝肾等功能检查 H.应用地塞米松 I.腰穿测脑脊液压力
答案 BDEFGH
解析 BDEFGH

猜你喜欢

发表评论
更多 网友评论0 条评论)
暂无评论

访问排行

Copyright © 2012-2014 恰考网 Inc. 保留所有权利。 Powered by tikuer.com

页面耗时0.0378秒, 内存占用1.03 MB, Cache:redis,访问数据库20次