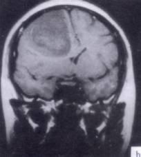
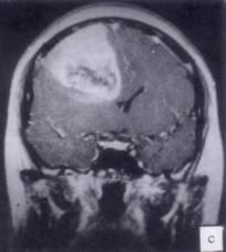
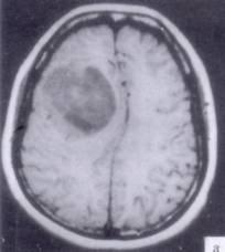
病历摘要:??患者男性,52岁。头痛伴呕吐2月,呕吐呈喷射性。既往身体健康。体检:神清,表情淡漠,反应迟钝,双眼底视神经乳头明显水肿,左鼻唇沟稍浅,左腹壁...

作者: rantiku 人气: - 评论: 0
问题 病历摘要:??患者男性,52岁。头痛伴呕吐2月,呕吐呈喷射性。既往身体健康。体检:神清,表情淡漠,反应迟钝,双眼底视神经乳头明显水肿,左鼻唇沟稍浅,左腹壁反射减弱,左上下肢肌力4级,左Babinski征(-)。 下列的术后处理哪些是正确的?
选项 A.头高15~300卧位 B.应用止血药物 C.应用甘露醇 D.应用抗生素 E.应用糖皮质激素 F.吸氧 G.应用德巴金 H.引流管一般在术后24~48小时拔除
答案 ABCDEFGH
解析 ABCDEFGH

猜你喜欢

发表评论
更多 网友评论0 条评论)
暂无评论

访问排行

Copyright © 2012-2014 恰考网 Inc. 保留所有权利。 Powered by tikuer.com

页面耗时0.0439秒, 内存占用1.03 MB, Cache:redis,访问数据库20次