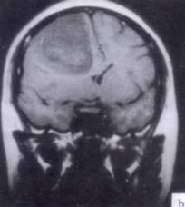
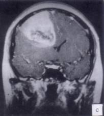
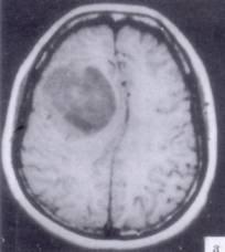
病历摘要:??患者男性,52岁。头痛伴呕吐2月,呕吐呈喷射性。既往身体健康。体检:神清,表情淡漠,反应迟钝,双眼底视神经乳头明显水肿,左鼻唇沟稍浅,左腹壁...

作者: rantiku 人气: - 评论: 0
问题 病历摘要:??患者男性,52岁。头痛伴呕吐2月,呕吐呈喷射性。既往身体健康。体检:神清,表情淡漠,反应迟钝,双眼底视神经乳头明显水肿,左鼻唇沟稍浅,左腹壁反射减弱,左上下肢肌力4级,左Babinski征(-)。 下列关于脑叶切除术范围的叙述哪些是正确的?
选项 A.额叶切除术:额极后约8cm B.额叶切除术:额极后约6cm C.颞叶切除术:颞极后约8cm D.颞叶切除术:颞极后约6~7cm E.枕叶切除术:枕极前约8cm F.枕叶切除术:枕极前约7cm G.枕叶切除术:枕极前约5cm
答案 ADF
解析 ADF

猜你喜欢

发表评论
更多 网友评论0 条评论)
暂无评论

访问排行

Copyright © 2012-2014 恰考网 Inc. 保留所有权利。 Powered by tikuer.com

页面耗时0.0504秒, 内存占用1.03 MB, Cache:redis,访问数据库18次