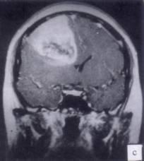
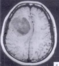
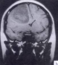
病历摘要:??患者男性,52岁。头痛伴呕吐2月,呕吐呈喷射性。既往身体健康。体检:神清,表情淡漠,反应迟钝,双眼底视神经乳头明显水肿,左鼻唇沟稍浅,左腹壁...

作者: rantiku 人气: - 评论: 0
问题 病历摘要:??患者男性,52岁。头痛伴呕吐2月,呕吐呈喷射性。既往身体健康。体检:神清,表情淡漠,反应迟钝,双眼底视神经乳头明显水肿,左鼻唇沟稍浅,左腹壁反射减弱,左上下肢肌力4级,左Babinski征(-)。 下列关于多形性胶质母细胞瘤的叙述哪些是正确的?提示:肿瘤病理报告为多形性胶质母细胞瘤
选项 A.主要发生于儿童 B.好发于大脑半球白质内 C.呈浸润性生长 D.高度恶性 E.出血、坏死少见 F.常向颅外转移 G.术后易复发 H.术后需行放、化疗
答案 BCDGH
解析 BCDGH

猜你喜欢

发表评论
更多 网友评论0 条评论)
暂无评论

访问排行

Copyright © 2012-2014 恰考网 Inc. 保留所有权利。 Powered by tikuer.com

页面耗时0.0427秒, 内存占用1.03 MB, Cache:redis,访问数据库17次