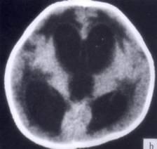
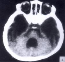
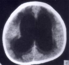
病历摘要:??患者女性,10岁。结核性脑膜炎愈后8月,头痛伴恶心呕吐1周,并渐加重。体检:神清,精神差,反应迟钝,双眼底视神经乳头水肿,双眼外展差,余未见...

作者: rantiku 人气: - 评论: 0
问题 病历摘要:??患者女性,10岁。结核性脑膜炎愈后8月,头痛伴恶心呕吐1周,并渐加重。体检:神清,精神差,反应迟钝,双眼底视神经乳头水肿,双眼外展差,余未见明显异常。 根据病史、CT,入院诊断考虑下列哪种?
选项 A.梗阻性脑积水 B.交通性脑积水 C.外部性脑积水 D.先天性脑积水 E.耳源性脑积水 F.良性颅内压增高 G.假性脑瘤
答案 B
解析 B

猜你喜欢

发表评论
更多 网友评论0 条评论)
暂无评论

访问排行

Copyright © 2012-2014 恰考网 Inc. 保留所有权利。 Powered by tikuer.com

页面耗时0.0512秒, 内存占用1.03 MB, Cache:redis,访问数据库20次