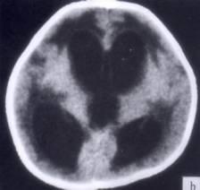
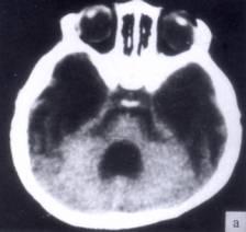
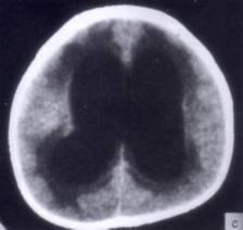
病历摘要:??患者女性,10岁。结核性脑膜炎愈后8月,头痛伴恶心呕吐1周,并渐加重。体检:神清,精神差,反应迟钝,双眼底视神经乳头水肿,双眼外展差,余未见...

作者: rantiku 人气: - 评论: 0
问题 病历摘要:??患者女性,10岁。结核性脑膜炎愈后8月,头痛伴恶心呕吐1周,并渐加重。体检:神清,精神差,反应迟钝,双眼底视神经乳头水肿,双眼外展差,余未见明显异常。 下列关于脑积水的叙述哪些是正确的?
选项 A.按阻塞部位分:梗阻性脑积水和交通性脑积水 B.按脑脊液蓄积部位分:内部性脑积水和外部性脑积水 C.正常颅压脑积水是指脑室扩大,但脑室内压力正常 D.正常颅压脑积水主要症状是步态不稳、记忆力障碍及尿失禁 E.儿童脑积水多为先天性和炎症性病变所致 F.成人脑积水多为颅内肿瘤、蛛网膜下腔出血和外伤所致 G.婴儿脑积水典型症状有Macewen征、日落征等
答案 ABCDEFG
解析 ABCDEFG

猜你喜欢

发表评论
更多 网友评论0 条评论)
暂无评论

访问排行

Copyright © 2012-2014 恰考网 Inc. 保留所有权利。 Powered by tikuer.com

页面耗时0.0418秒, 内存占用1.03 MB, Cache:redis,访问数据库20次