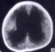
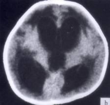
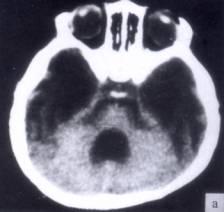
病历摘要:??患者女性,10岁。结核性脑膜炎愈后8月,头痛伴恶心呕吐1周,并渐加重。体检:神清,精神差,反应迟钝,双眼底视神经乳头水肿,双眼外展差,余未见...

作者: rantiku 人气: - 评论: 0
问题 病历摘要:??患者女性,10岁。结核性脑膜炎愈后8月,头痛伴恶心呕吐1周,并渐加重。体检:神清,精神差,反应迟钝,双眼底视神经乳头水肿,双眼外展差,余未见明显异常。 目前治疗脑积水的措施包括下列哪些?
选项 A.侧脑室-枕大池分流术 B.终板造瘘术 C.侧脑室-腹腔分流术 D.侧脑室-右心房分流术 E.侧脑室-颈静脉分流术 F.腰椎蛛网膜下腔-腹腔分流术 G.应用醋氮酰胺等药物
答案 ABCDEFG
解析 ABCDEFG

猜你喜欢

发表评论
更多 网友评论0 条评论)
暂无评论

访问排行

Copyright © 2012-2014 恰考网 Inc. 保留所有权利。 Powered by tikuer.com

页面耗时0.0477秒, 内存占用1.03 MB, Cache:redis,访问数据库20次