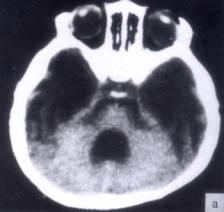
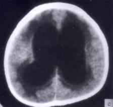
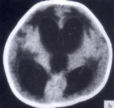
病历摘要:??患者女性,10岁。结核性脑膜炎愈后8月,头痛伴恶心呕吐1周,并渐加重。体检:神清,精神差,反应迟钝,双眼底视神经乳头水肿,双眼外展差,余未见...

作者: rantiku 人气: - 评论: 0
问题 病历摘要:??患者女性,10岁。结核性脑膜炎愈后8月,头痛伴恶心呕吐1周,并渐加重。体检:神清,精神差,反应迟钝,双眼底视神经乳头水肿,双眼外展差,余未见明显异常。 侧脑室-腹腔分流术后并发症包括下列哪些?
选项 A.分流管堵塞 B.分流过度 C.分流不足 D.硬膜下积液 E.感染 F.硬膜下血肿 G.癫痫
答案 ABCDEFG
解析 ABCDEFG

猜你喜欢

发表评论
更多 网友评论0 条评论)
暂无评论
错误啦!

错误信息

  • 消息: [程序异常] : MISCONF Redis is configured to save RDB snapshots, but it's currently unable to persist to disk. Commands that may modify the data set are disabled, because this instance is configured to report errors during writes if RDB snapshotting fails (stop-writes-on-bgsave-error option). Please check the Redis logs for details about the RDB error.
  • 文件: /twcms/kongphp/cache/cache_redis.class.php
  • 位置: 第 85 行
    <?php echo 'KongPHP, Road to Jane.'; ?>