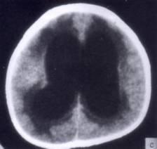
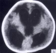
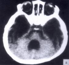
病历摘要:??患者女性,10岁。结核性脑膜炎愈后8月,头痛伴恶心呕吐1周,并渐加重。体检:神清,精神差,反应迟钝,双眼底视神经乳头水肿,双眼外展差,余未见...

作者: rantiku 人气: - 评论: 0
问题 病历摘要:??患者女性,10岁。结核性脑膜炎愈后8月,头痛伴恶心呕吐1周,并渐加重。体检:神清,精神差,反应迟钝,双眼底视神经乳头水肿,双眼外展差,余未见明显异常。 下列关于脑脊液的叙述哪些是正确的?
选项 A.脑脊液主要有脉络丛产生 B.脉络丛仅存在于侧脑室中 C.脑脊液主要有蛛网膜颗粒吸收入下矢状窦 D.成人脑脊液的总量约为100~150ml E.正常脑脊液细胞数为0~20×10/L F.颅内静脉窦血栓形成可导致脑脊液吸收障碍 G.脑室内的脑脊液经第4脑室的正中孔和侧孔流入蛛网膜下腔
答案 ADFG
解析 ADFG

猜你喜欢

发表评论
更多 网友评论0 条评论)
暂无评论

访问排行

Copyright © 2012-2014 恰考网 Inc. 保留所有权利。 Powered by tikuer.com

页面耗时0.0372秒, 内存占用1.03 MB, Cache:redis,访问数据库17次