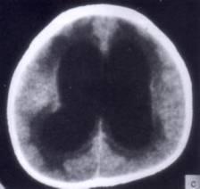
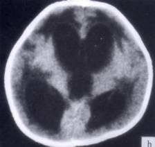
病历摘要:??患者女性,10岁。结核性脑膜炎愈后8月,头痛伴恶心呕吐1周,并渐加重。体检:神清,精神差,反应迟钝,双眼底视神经乳头水肿,双眼外展差,余未见...

作者: rantiku 人气: - 评论: 0
问题 病历摘要:??患者女性,10岁。结核性脑膜炎愈后8月,头痛伴恶心呕吐1周,并渐加重。体检:神清,精神差,反应迟钝,双眼底视神经乳头水肿,双眼外展差,余未见明显异常。 下列关于颅内压增高的叙述哪些是正确的?
选项 A.可出现Cushing反应 B.可出现典型的三主征:头痛、恶心呕吐、视神经乳头水肿 C.颅内压增高时,脑脊液回吸收量减少 D.>2.0kPa时,即应立即采取降颅压措施 E.颅内压监护时出现高原波,提示颅内压显著增高 F.脑灌注压>30~40mmHg时,脑血管才能发挥自动调节功能 G.正常的脑灌注压为70~90mmHg
答案 ABEFG
解析 ABEFG

猜你喜欢

发表评论
更多 网友评论0 条评论)
暂无评论

访问排行

Copyright © 2012-2014 恰考网 Inc. 保留所有权利。 Powered by tikuer.com

页面耗时0.0373秒, 内存占用1.03 MB, Cache:redis,访问数据库18次