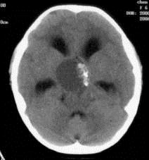
病历摘要:??患者女性,6岁,半年来感觉视力模糊,近10天出现反复头痛,间有恶心呕吐,精神转差,查体:神志清楚,身高90cm,体重25Kg,血压90/55...

作者: rantiku 人气: - 评论: 0
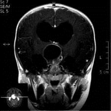
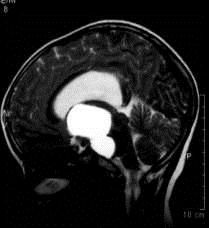
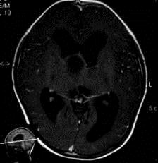
问题 病历摘要:??患者女性,6岁,半年来感觉视力模糊,近10天出现反复头痛,间有恶心呕吐,精神转差,查体:神志清楚,身高90cm,体重25Kg,血压90/55mmHg,右眼视力4.6,左眼视力4.8,双侧视乳头水肿,颈软,伸舌居中,四肢肌张力正常,肌力5级,双侧Babinski征(-)。 手术利用右侧翼点入路,在显微镜下利用鞍区自然间隙进行,一般来说,第二间隙可以窥见的结构有?
选项 A.右侧视神经 B.右侧大脑前动脉 C.前交通动脉 D.垂体上动脉 E.Heubner?回返动脉 F.颈内动脉床突上段 G.基底动脉 H.右侧小脑前下动脉
答案 ADFG
解析 ADFG

猜你喜欢

发表评论
更多 网友评论0 条评论)
暂无评论

访问排行

Copyright © 2012-2014 恰考网 Inc. 保留所有权利。 Powered by tikuer.com

页面耗时0.0660秒, 内存占用1.03 MB, Cache:redis,访问数据库19次