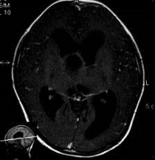
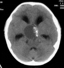
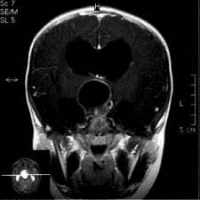
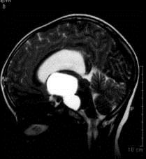
病历摘要:??患者女性,6岁,半年来感觉视力模糊,近10天出现反复头痛,间有恶心呕吐,精神转差,查体:神志清楚,身高90cm,体重25Kg,血压90/55...

作者: rantiku 人气: - 评论: 0
问题 病历摘要:??患者女性,6岁,半年来感觉视力模糊,近10天出现反复头痛,间有恶心呕吐,精神转差,查体:神志清楚,身高90cm,体重25Kg,血压90/55mmHg,右眼视力4.6,左眼视力4.8,双侧视乳头水肿,颈软,伸舌居中,四肢肌张力正常,肌力5级,双侧Babinski征(-)。 患者术后第一天,神志嗜睡,精神疲倦,皮肤干燥,38.2℃,心率155次/分,Bp102/60mmHg,中心静脉压3mmHO,Na160mmol/L,尿量很多,色清如水,应作的处理措施有?
选项 A.监测血钠钾变化 B.尿比重测定 C.加强甘露醇脱水 D.监测每小时尿量 E.垂体后叶素肌注 F.林格氏液?1000ml静滴,加强补液 G.置入胃管,经胃管多补充液体 H.监测中心静脉压变化
答案 ABDEGH
解析 ABDEGH

猜你喜欢

发表评论
更多 网友评论0 条评论)
暂无评论
错误啦!

错误信息

  • 消息: [程序异常] : MISCONF Redis is configured to save RDB snapshots, but it's currently unable to persist to disk. Commands that may modify the data set are disabled, because this instance is configured to report errors during writes if RDB snapshotting fails (stop-writes-on-bgsave-error option). Please check the Redis logs for details about the RDB error.
  • 文件: /twcms/kongphp/cache/cache_redis.class.php
  • 位置: 第 85 行
    <?php echo 'KongPHP, Road to Jane.'; ?>