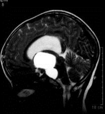
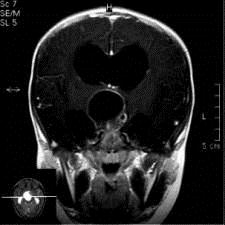
病历摘要:??患者女性,6岁,半年来感觉视力模糊,近10天出现反复头痛,间有恶心呕吐,精神转差,查体:神志清楚,身高90cm,体重25Kg,血压90/55...

作者: rantiku 人气: - 评论: 0
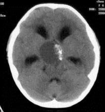
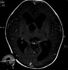
问题 病历摘要:??患者女性,6岁,半年来感觉视力模糊,近10天出现反复头痛,间有恶心呕吐,精神转差,查体:神志清楚,身高90cm,体重25Kg,血压90/55mmHg,右眼视力4.6,左眼视力4.8,双侧视乳头水肿,颈软,伸舌居中,四肢肌张力正常,肌力5级,双侧Babinski征(-)。 患者术后第三天,病情加重,检查生化,血钠145mmol/l,尿比重1.010g/l,复查头部CT,发现右侧大脑中动脉供血区域密度减低,右侧脑室受压,蛛网膜下腔、脑室内少量积血,中线有移位,环池显示欠清,这时应采取的治疗措施有?
选项 A.甘露醇125ml快速静滴 B.尼膜地平静滴舒张血管 C.右侧额颞开颅去骨瓣减压术 D.低分子肝素皮下注射 E.右侧额颞开颅颞叶切除术 F.侧脑室穿刺外引流术 G.右侧额颞开颅去骨瓣+颞叶切除术
答案 ABC
解析 ABC

猜你喜欢

发表评论
更多 网友评论0 条评论)
暂无评论

访问排行

Copyright © 2012-2014 恰考网 Inc. 保留所有权利。 Powered by tikuer.com

页面耗时0.0543秒, 内存占用1.03 MB, Cache:redis,访问数据库13次