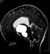
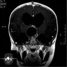
病历摘要:??患者女性,6岁,半年来感觉视力模糊,近10天出现反复头痛,间有恶心呕吐,精神转差,查体:神志清楚,身高90cm,体重25Kg,血压90/55...

作者: rantiku 人气: - 评论: 0
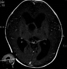
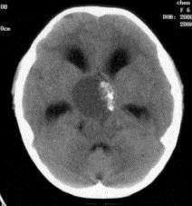
问题 病历摘要:??患者女性,6岁,半年来感觉视力模糊,近10天出现反复头痛,间有恶心呕吐,精神转差,查体:神志清楚,身高90cm,体重25Kg,血压90/55mmHg,右眼视力4.6,左眼视力4.8,双侧视乳头水肿,颈软,伸舌居中,四肢肌张力正常,肌力5级,双侧Babinski征(-)。 患者术后第三天,神志逐渐转差,浅昏迷状态,并出现癫痫大发作,体查:颈抵抗,HR110次/分,T38.5℃,BP90/52mmHg,中心静脉压10mmHO,右侧瞳孔2.5mm,光反射迟钝,左侧瞳孔2.0mm,光反射灵敏,刺痛右侧肢体可以定位,左侧肢体见轻微肌肉收缩动作,右侧Babinski征(-),左侧Babinski征(+)。考虑患者病情加重的最可能原因有?
选项 A.高渗性昏迷 B.低渗性昏迷 C.水中毒 D.感染性休克 E.缺血缺氧性脑病 F.脑血管痉挛 G.脑梗塞 H.脑出血 I.无菌性脑膜炎
答案 GH
解析 GH

猜你喜欢

发表评论
更多 网友评论0 条评论)
暂无评论

访问排行

Copyright © 2012-2014 恰考网 Inc. 保留所有权利。 Powered by tikuer.com

页面耗时0.0826秒, 内存占用1.03 MB, Cache:redis,访问数据库13次