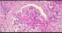
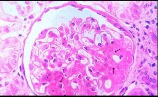
图-1为HE染色,图-2为PAS染色,图-3免疫荧光镜下可见IgM团块状沉积于病灶区,图-4电镜下可见上皮细胞足突广泛融合,系膜增生(M)。阅读这些病理图...

作者: rantiku 人气: - 评论: 0
问题 图-1为HE染色,图-2为PAS染色,图-3免疫荧光镜下可见IgM团块状沉积于病灶区,图-4电镜下可见上皮细胞足突广泛融合,系膜增生(M)。阅读这些病理图片,诊断其病理类型是 ( )
选项 A.系膜增生性肾小球肾炎. B.膜增生性肾小球肾炎 C.局灶性节段性肾小球硬化 D.肾小球轻微病变 E.局灶性肾炎
答案 C
解析

猜你喜欢

发表评论
更多 网友评论0 条评论)
暂无评论

访问排行

Copyright © 2012-2014 恰考网 Inc. 保留所有权利。 Powered by tikuer.com

页面耗时0.0501秒, 内存占用1.03 MB, Cache:redis,访问数据库20次