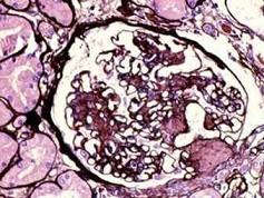
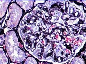
阅读下述三张狼疮性肾炎病理图片后,其病理诊断为 ( )A.Ⅲ型LNB.Ⅰ型LNC.Ⅳ型LND.Ⅴ型LNE.Ⅱ型LN

作者: rantiku 人气: - 评论: 0
问题 阅读下述三张狼疮性肾炎病理图片后,其病理诊断为 ( )
选项 A.Ⅲ型LN B.Ⅰ型LN C.Ⅳ型LN D.Ⅴ型LN E.Ⅱ型LN
答案 D
解析

猜你喜欢

发表评论
更多 网友评论0 条评论)
暂无评论

访问排行

Copyright © 2012-2014 恰考网 Inc. 保留所有权利。 Powered by tikuer.com

页面耗时0.0472秒, 内存占用1.03 MB, Cache:redis,访问数据库19次