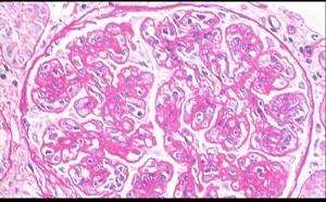
下列两张病理图片可诊断哪种病理类型 ( )A.局灶性节段性硬化B.系膜增生性肾小球肾炎C.膜性肾病D.局灶性肾炎E.膜增生性肾小球性肾炎

作者: rantiku 人气: - 评论: 0
问题 下列两张病理图片可诊断哪种病理类型 ( )
选项 A.局灶性节段性硬化 B.系膜增生性肾小球肾炎 C.膜性肾病 D.局灶性肾炎 E.膜增生性肾小球性肾炎
答案 E
解析

猜你喜欢

发表评论
更多 网友评论0 条评论)
暂无评论

访问排行

Copyright © 2012-2014 恰考网 Inc. 保留所有权利。 Powered by tikuer.com

页面耗时0.0407秒, 内存占用1.03 MB, Cache:redis,访问数据库18次