一女性患者,一月前出现尿频、尿急等症状为引起注意,现有高热,阅图后最可能的诊断为 ( )A.急性肾盂肾炎B.肾脓肿C.多囊肾D...

作者: rantiku 人气: - 评论: 0
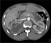
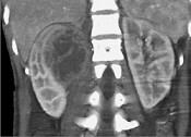
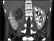
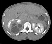
问题 一女性患者,一月前出现尿频、尿急等症状为引起注意,现有高热,阅图后最可能的诊断为 ( )
选项 A.急性肾盂肾炎 B.肾脓肿 C.多囊肾 D.肾结核 E.肾癌
答案 B
解析

猜你喜欢

发表评论
更多 网友评论0 条评论)
暂无评论

访问排行

Copyright © 2012-2014 恰考网 Inc. 保留所有权利。 Powered by tikuer.com

页面耗时0.0390秒, 内存占用1.03 MB, Cache:redis,访问数据库20次