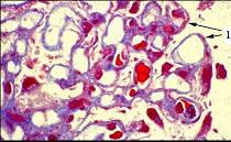
图-1可见上皮下少量嗜复红蛋白沉积(1)(Masson),图-2可见上皮下少量电子致密物沉积沉积(D),上皮细胞足突融合,其病理可诊断为 ( )A...

作者: rantiku 人气: - 评论: 0
问题 图-1可见上皮下少量嗜复红蛋白沉积(1)(Masson),图-2可见上皮下少量电子致密物沉积沉积(D),上皮细胞足突融合,其病理可诊断为 ( )
选项 A.Ⅰ期膜性肾病 B.Ⅱ期膜性肾病 C.Ⅲ期膜性肾病 D.Ⅳ期膜性肾病 E.Ⅴ期膜性肾病
答案 A
解析

猜你喜欢

发表评论
更多 网友评论0 条评论)
暂无评论

访问排行

Copyright © 2012-2014 恰考网 Inc. 保留所有权利。 Powered by tikuer.com

页面耗时0.0359秒, 内存占用1.03 MB, Cache:redis,访问数据库19次