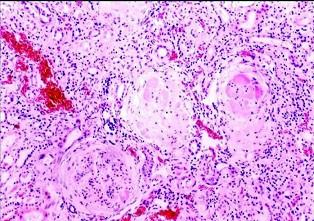
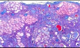
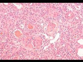
下述三张病理图片,你考虑 ( )A.急性肾小管坏死B.急性间质性肾炎C.慢性间质性肾炎D.毛细血管增生性肾小球肾炎E.硬化性肾...

作者: rantiku 人气: - 评论: 0
问题 下述三张病理图片,你考虑 ( )
选项 A.急性肾小管坏死 B.急性间质性肾炎 C.慢性间质性肾炎 D.毛细血管增生性肾小球肾炎 E.硬化性肾小球肾炎
答案 E
解析

猜你喜欢

发表评论
更多 网友评论0 条评论)
暂无评论

访问排行

Copyright © 2012-2014 恰考网 Inc. 保留所有权利。 Powered by tikuer.com

页面耗时0.0637秒, 内存占用1.03 MB, Cache:redis,访问数据库17次