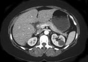
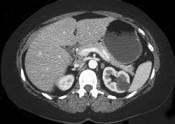
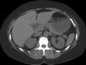
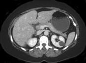
女性,最近感腰部胀痛,体检发现B超右肾正常,左肾有一囊肿,双肾体积不增大,尿常规、肾功能正常,无家族病史,CT表现入图所示,最可能考虑为 ( ) ...

作者: rantiku 人气: - 评论: 0
问题 女性,最近感腰部胀痛,体检发现B超右肾正常,左肾有一囊肿,双肾体积不增大,尿常规、肾功能正常,无家族病史,CT表现入图所示,最可能考虑为 ( )
选项 A.肾积水 B.多囊肾 C.多发性肾囊肿 D.肾肿瘤 E.肾结核
答案 C
解析

猜你喜欢

发表评论
更多 网友评论0 条评论)
暂无评论

访问排行

Copyright © 2012-2014 恰考网 Inc. 保留所有权利。 Powered by tikuer.com

页面耗时0.0400秒, 内存占用1.03 MB, Cache:redis,访问数据库18次