该肾病理图片(Masson染色)可考虑 ( )A.系膜增生性肾小球肾炎B.膜增生性肾小球肾炎C.局灶性节段性硬化D.毛细血管内增生性肾小球...

作者: rantiku 人气: - 评论: 0
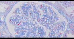
问题 该肾病理图片(Masson染色)可考虑 ( )
选项 A.系膜增生性肾小球肾炎 B.膜增生性肾小球肾炎 C.局灶性节段性硬化 D.毛细血管内增生性肾小球肾炎 E.微小病变
答案 A
解析

猜你喜欢

发表评论
更多 网友评论0 条评论)
暂无评论

访问排行

Copyright © 2012-2014 恰考网 Inc. 保留所有权利。 Powered by tikuer.com

页面耗时0.0411秒, 内存占用1.03 MB, Cache:redis,访问数据库18次