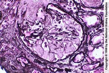
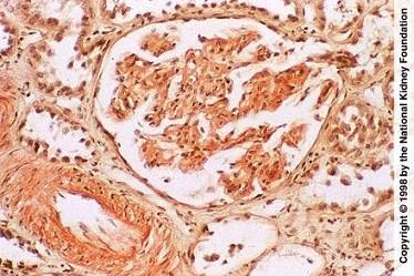
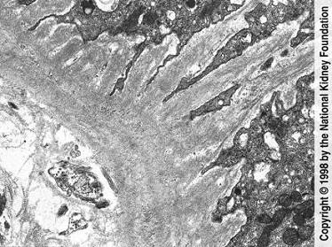
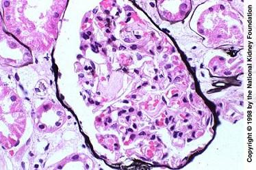
如图,银染色可见系膜区及毛细血管袢有淀粉样物质沉积,刚果红染色呈砖红色阳性,电镜以淀粉样纤维沉积为特点,其病理诊断可考虑为 ( )...

作者: rantiku 人气: - 评论: 0
问题 如图,银染色可见系膜区及毛细血管袢有淀粉样物质沉积,刚果红染色呈砖红色阳性,电镜以淀粉样纤维沉积为特点,其病理诊断可考虑为 ( )
选项 A.糖尿病肾病 B.高血压肾损害 C.肾淀粉样变性 D.乙肝相关性肾炎 E.肾小球肾炎
答案 C
解析

猜你喜欢

发表评论
更多 网友评论0 条评论)
暂无评论

访问排行

Copyright © 2012-2014 恰考网 Inc. 保留所有权利。 Powered by tikuer.com

页面耗时0.0393秒, 内存占用1.03 MB, Cache:redis,访问数据库20次