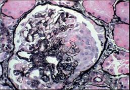
该图片(PASM)可见 ( )A.肾小球节段袢坏死及小细胞性新月体B.小细胞性新月体C.大细胞性新月体D.肾小球节段袢坏死E.以上都可见

作者: rantiku 人气: - 评论: 0
问题 该图片(PASM)可见 ( )
选项 A.肾小球节段袢坏死及小细胞性新月体 B.小细胞性新月体 C.大细胞性新月体 D.肾小球节段袢坏死 E.以上都可见
答案 A
解析

猜你喜欢

发表评论
更多 网友评论0 条评论)
暂无评论

访问排行

Copyright © 2012-2014 恰考网 Inc. 保留所有权利。 Powered by tikuer.com

页面耗时0.0476秒, 内存占用1.03 MB, Cache:redis,访问数据库20次