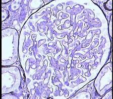
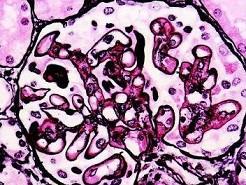
阅读下述三张狼疮性肾炎病理图片后,其病理诊断为 ( )A.Ⅲ型LNB.Ⅰ型LNC.Ⅳ型LND.Ⅴ型LNE.Ⅱ型LN

作者: rantiku 人气: - 评论: 0
问题 阅读下述三张狼疮性肾炎病理图片后,其病理诊断为 ( )
选项 A.Ⅲ型LN B.Ⅰ型LN C.Ⅳ型LN D.Ⅴ型LN E.Ⅱ型LN
答案 C
解析

猜你喜欢

发表评论
更多 网友评论0 条评论)
暂无评论
错误啦!

错误信息

  • 消息: [程序异常] : MISCONF Redis is configured to save RDB snapshots, but it's currently unable to persist to disk. Commands that may modify the data set are disabled, because this instance is configured to report errors during writes if RDB snapshotting fails (stop-writes-on-bgsave-error option). Please check the Redis logs for details about the RDB error.
  • 文件: /twcms/kongphp/cache/cache_redis.class.php
  • 位置: 第 85 行
    <?php echo 'KongPHP, Road to Jane.'; ?>