PASM染色基底膜有不规则的羽毛状物质沉积,偏光显微镜下有绿色表现,电镜以淀粉样纤维沉积为特点,其病理诊断可考虑为 ( )A.糖尿病肾病B...

作者: rantiku 人气: - 评论: 0
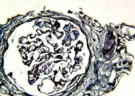
问题 PASM染色基底膜有不规则的羽毛状物质沉积,偏光显微镜下有绿色表现,电镜以淀粉样纤维沉积为特点,其病理诊断可考虑为 ( )
选项 A.糖尿病肾病 B.高血压肾损害 C.肾淀粉样变性 D.乙肝相关性肾炎 E.肾小球肾炎
答案 C
解析

猜你喜欢

发表评论
更多 网友评论0 条评论)
暂无评论
错误啦!

错误信息

  • 消息: [程序异常] : MISCONF Redis is configured to save RDB snapshots, but it's currently unable to persist to disk. Commands that may modify the data set are disabled, because this instance is configured to report errors during writes if RDB snapshotting fails (stop-writes-on-bgsave-error option). Please check the Redis logs for details about the RDB error.
  • 文件: /twcms/kongphp/cache/cache_redis.class.php
  • 位置: 第 85 行
    <?php echo 'KongPHP, Road to Jane.'; ?>