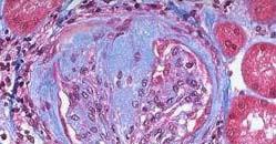
下述两张病理图片(图-1光镜为 Masson染色,图-2免疫荧光镜下:IgM节段团块沉积)考虑是 ( )A.局灶性节段性肾小球硬化B.细胞新月...

作者: rantiku 人气: - 评论: 0
问题 下述两张病理图片(图-1光镜为 Masson染色,图-2免疫荧光镜下:IgM节段团块沉积)考虑是 ( )
选项 A.局灶性节段性肾小球硬化 B.细胞新月体性肾炎 C.纤维细胞新月体性肾炎 D.纤维新月体性肾炎
答案 A
解析

猜你喜欢

发表评论
更多 网友评论0 条评论)
暂无评论

访问排行

Copyright © 2012-2014 恰考网 Inc. 保留所有权利。 Powered by tikuer.com

页面耗时0.0954秒, 内存占用1.03 MB, Cache:redis,访问数据库20次