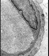
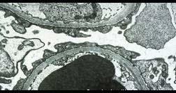
肾病理光镜及免疫荧光正常,观察电镜下改变,其病理诊断 ( )A.正常肾小球B.膜性肾病C.膜增生性肾小球肾炎D.系膜增生性肾小球肾炎 ...

作者: rantiku 人气: - 评论: 0
问题 肾病理光镜及免疫荧光正常,观察电镜下改变,其病理诊断 ( )
选项 A.正常肾小球 B.膜性肾病 C.膜增生性肾小球肾炎 D.系膜增生性肾小球肾炎 E.微小病变
答案 E
解析

猜你喜欢

发表评论
更多 网友评论0 条评论)
暂无评论
错误啦!

错误信息

  • 消息: [程序异常] : MISCONF Redis is configured to save RDB snapshots, but it's currently unable to persist to disk. Commands that may modify the data set are disabled, because this instance is configured to report errors during writes if RDB snapshotting fails (stop-writes-on-bgsave-error option). Please check the Redis logs for details about the RDB error.
  • 文件: /twcms/kongphp/cache/cache_redis.class.php
  • 位置: 第 85 行
    <?php echo 'KongPHP, Road to Jane.'; ?>