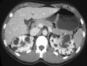
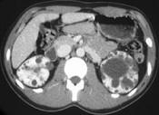
男性,40岁,因腰痛血尿就诊,B超检查发现肾脏增大,CT表现如图所示,追问病史发现家族中有类似疾病,最可能考虑为 ( )A.多囊肾B.肾积水 ...

作者: rantiku 人气: - 评论: 0
问题 男性,40岁,因腰痛血尿就诊,B超检查发现肾脏增大,CT表现如图所示,追问病史发现家族中有类似疾病,最可能考虑为 ( )
选项 A.多囊肾 B.肾积水 C.多发性肾囊肿 D.肾肿瘤 E.肾结核
答案 A
解析

猜你喜欢

发表评论
更多 网友评论0 条评论)
暂无评论

访问排行

Copyright © 2012-2014 恰考网 Inc. 保留所有权利。 Powered by tikuer.com

页面耗时0.0423秒, 内存占用1.03 MB, Cache:redis,访问数据库18次