通过阅读下列四张病理片(图-1 PAS染色,图-2 PAM染色, 图-3免疫荧光IgG和补体C3呈颗粒状和团块状沉积——毛细血管壁和系膜区, 图-4电镜下...

作者: rantiku 人气: - 评论: 0
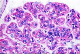
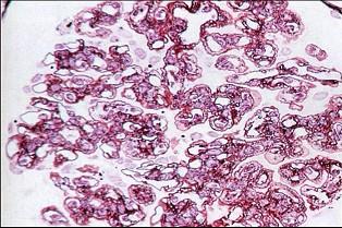
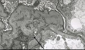
问题 通过阅读下列四张病理片(图-1 PAS染色,图-2 PAM染色, 图-3免疫荧光IgG和补体C3呈颗粒状和团块状沉积——毛细血管壁和系膜区, 图-4电镜下如箭头所示左下方的一个系膜细胞的细胞浆插入了基底膜,使基底膜分离,形成两层基底膜,这两层基底膜堆积在系膜细胞的胞浆上)。 你诊断哪种病理类型 ( )
选项 A.局灶性节段性硬化 B.系膜增生性肾小球肾炎 C.膜性肾病 D.膜增生性肾小球性肾炎Ⅰ型 E.膜增生性肾小球性肾炎Ⅱ型
答案 D
解析

猜你喜欢

发表评论
更多 网友评论0 条评论)
暂无评论
错误啦!

错误信息

  • 消息: [程序异常] : MISCONF Redis is configured to save RDB snapshots, but it's currently unable to persist to disk. Commands that may modify the data set are disabled, because this instance is configured to report errors during writes if RDB snapshotting fails (stop-writes-on-bgsave-error option). Please check the Redis logs for details about the RDB error.
  • 文件: /twcms/kongphp/cache/cache_redis.class.php
  • 位置: 第 85 行
    <?php echo 'KongPHP, Road to Jane.'; ?>