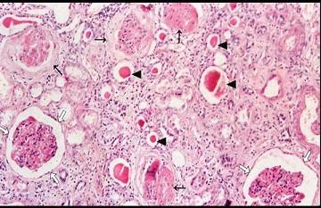
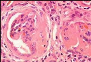
阅读下列两张病理图片,可考虑 ( )A.硬化性肾小球肾炎B.急性间质性肾炎C.慢性间质性肾炎D.急性肾小管坏死E.毛细血管增生性肾...

作者: rantiku 人气: - 评论: 0
问题 阅读下列两张病理图片,可考虑 ( )
选项 A.硬化性肾小球肾炎 B.急性间质性肾炎 C.慢性间质性肾炎 D.急性肾小管坏死 E.毛细血管增生性肾小球肾炎
答案 A
解析

猜你喜欢

发表评论
更多 网友评论0 条评论)
暂无评论

访问排行

Copyright © 2012-2014 恰考网 Inc. 保留所有权利。 Powered by tikuer.com

页面耗时0.0355秒, 内存占用1.03 MB, Cache:redis,访问数据库19次