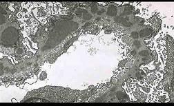
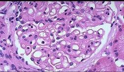
光镜和电镜肾脏病理表现如下(图-1PAS基底膜增厚,中度系膜增生,图-2上皮下电子致密物沉积),其符合下面哪种病理类型 ( )A.膜性肾小球肾炎 ...

作者: rantiku 人气: - 评论: 0
问题 光镜和电镜肾脏病理表现如下(图-1PAS基底膜增厚,中度系膜增生,图-2上皮下电子致密物沉积),其符合下面哪种病理类型 ( )
选项 A.膜性肾小球肾炎 B.局灶节段性肾小球硬化 C.膜增生性肾小球肾炎 D.肾小球轻微病变 E.局灶性肾炎
答案 A
解析

猜你喜欢

发表评论
更多 网友评论0 条评论)
暂无评论
错误啦!

错误信息

  • 消息: [程序异常] : MISCONF Redis is configured to save RDB snapshots, but it's currently unable to persist to disk. Commands that may modify the data set are disabled, because this instance is configured to report errors during writes if RDB snapshotting fails (stop-writes-on-bgsave-error option). Please check the Redis logs for details about the RDB error.
  • 文件: /twcms/kongphp/cache/cache_redis.class.php
  • 位置: 第 85 行
    <?php echo 'KongPHP, Road to Jane.'; ?>