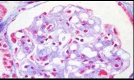
阅读下列三张病理图片(图-1 Masson染色,图-2免疫荧光镜下IgG基膜内条带状沉积,图-3电镜下基底膜有电子致密物沉积,这些基底膜内的暗色的电子致密...

作者: rantiku 人气: - 评论: 0
问题 阅读下列三张病理图片(图-1 Masson染色,图-2免疫荧光镜下IgG基膜内条带状沉积,图-3电镜下基底膜有电子致密物沉积,这些基底膜内的暗色的电子致密物沉积常融合成肋骨样)可诊断哪种病理类型 ( )
选项 A.局灶性节段性硬化 B.系膜增生性肾小球肾炎 C.膜性肾病 D.膜增生性肾小球性肾炎Ⅰ型 E.膜增生性肾小球性肾炎Ⅱ型
答案 E
解析

猜你喜欢

发表评论
更多 网友评论0 条评论)
暂无评论

访问排行

Copyright © 2012-2014 恰考网 Inc. 保留所有权利。 Powered by tikuer.com

页面耗时0.1565秒, 内存占用1.03 MB, Cache:redis,访问数据库20次