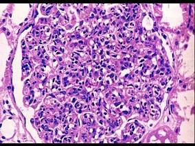
阅读下面两张图片(电镜箭头示上皮下驼峰状电子致密物沉积)后,其病理诊断为 ( )A.急性间质性肾炎B.系膜增生性肾小球肾炎C.新月体性肾小...

作者: rantiku 人气: - 评论: 0
问题 阅读下面两张图片(电镜箭头示上皮下驼峰状电子致密物沉积)后,其病理诊断为 ( )
选项 A.急性间质性肾炎 B.系膜增生性肾小球肾炎 C.新月体性肾小球肾炎 D.膜增生性肾小球肾炎 E.毛细血管内增生性肾小球肾炎
答案 E
解析

猜你喜欢

发表评论
更多 网友评论0 条评论)
暂无评论
错误啦!

错误信息

  • 消息: [程序异常] : MISCONF Redis is configured to save RDB snapshots, but it's currently unable to persist to disk. Commands that may modify the data set are disabled, because this instance is configured to report errors during writes if RDB snapshotting fails (stop-writes-on-bgsave-error option). Please check the Redis logs for details about the RDB error.
  • 文件: /twcms/kongphp/cache/cache_redis.class.php
  • 位置: 第 85 行
    <?php echo 'KongPHP, Road to Jane.'; ?>