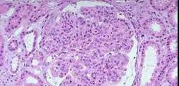
该肾病理图片诊断为 ( )A.局灶性节段性硬化B.链球菌感染后肾小球肾炎(毛细血管内增生性肾小球肾炎)C.新月体性肾炎D.正常肾小球E...

作者: rantiku 人气: - 评论: 0
问题 该肾病理图片诊断为 ( )
选项 A.局灶性节段性硬化 B.链球菌感染后肾小球肾炎(毛细血管内增生性肾小球肾炎) C.新月体性肾炎 D.正常肾小球 E.系膜增生性肾小球肾炎
答案 B
解析

猜你喜欢

发表评论
更多 网友评论0 条评论)
暂无评论
错误啦!

错误信息

  • 消息: [程序异常] : MISCONF Redis is configured to save RDB snapshots, but it's currently unable to persist to disk. Commands that may modify the data set are disabled, because this instance is configured to report errors during writes if RDB snapshotting fails (stop-writes-on-bgsave-error option). Please check the Redis logs for details about the RDB error.
  • 文件: /twcms/kongphp/cache/cache_redis.class.php
  • 位置: 第 85 行
    <?php echo 'KongPHP, Road to Jane.'; ?>