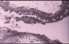
肾病理光镜及免疫荧光正常,该电镜下有何印像 ( )A.均为正常肾小球B.微小病变肾病C.上半部肾小球正常,下半部小球为微小病变肾病D.下半...

作者: rantiku 人气: - 评论: 0
问题 肾病理光镜及免疫荧光正常,该电镜下有何印像 ( )
选项 A.均为正常肾小球 B.微小病变肾病 C.上半部肾小球正常,下半部小球为微小病变肾病 D.下半部肾小球正常,上半部小球为微小病变肾病 E.均不正确
答案 C
解析

猜你喜欢

发表评论
更多 网友评论0 条评论)
暂无评论

访问排行

Copyright © 2012-2014 恰考网 Inc. 保留所有权利。 Powered by tikuer.com

页面耗时0.0378秒, 内存占用1.03 MB, Cache:redis,访问数据库20次