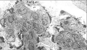
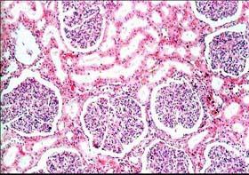
通过阅读模式图和下列两张肾脏病理图片,其诊断考虑为 ( )A.新月体性肾炎B.弥漫性毛细血管内增生性肾小球肾炎C.系膜增生性肾小球肾炎...

作者: rantiku 人气: - 评论: 0
问题 通过阅读模式图和下列两张肾脏病理图片,其诊断考虑为 ( )
选项 A.新月体性肾炎 B.弥漫性毛细血管内增生性肾小球肾炎 C.系膜增生性肾小球肾炎 D.局灶节段性硬化 E.膜增生性肾小球肾炎
答案 B
解析

猜你喜欢

发表评论
更多 网友评论0 条评论)
暂无评论

访问排行

Copyright © 2012-2014 恰考网 Inc. 保留所有权利。 Powered by tikuer.com

页面耗时0.0518秒, 内存占用1.03 MB, Cache:redis,访问数据库20次