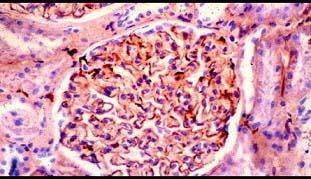
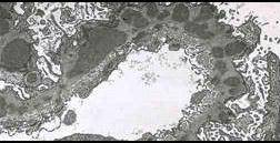
图-1 IgG沿毛细血管壁细颗粒状沉积,图-2免疫荧光显微镜所见:IgG和补体呈细颗粒沉积于肾小球毛细血管壁沉积,图-3电镜下,可见较暗的电子致密的免疫反...

作者: rantiku 人气: - 评论: 0
问题 图-1 IgG沿毛细血管壁细颗粒状沉积,图-2免疫荧光显微镜所见:IgG和补体呈细颗粒沉积于肾小球毛细血管壁沉积,图-3电镜下,可见较暗的电子致密的免疫反应物质弥散分布在增厚的基底膜上。其病理可诊断 ( )
选项 A.膜性肾病 B.膜增生性肾小球肾炎 C.系膜增生性肾小球肾炎 D.局灶节段性肾小球硬化 E.毛细血管内增生性肾小球肾炎
答案 A
解析

猜你喜欢

发表评论
更多 网友评论0 条评论)
暂无评论

访问排行

Copyright © 2012-2014 恰考网 Inc. 保留所有权利。 Powered by tikuer.com

页面耗时0.0360秒, 内存占用1.03 MB, Cache:redis,访问数据库20次