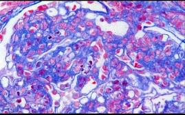
光镜、免疫荧光镜(免疫荧光:IgG和C3沿基底膜和血管系膜区沉积,呈颗粒状荧光)、电镜(箭头示上皮下驼峰状电子致密物)所示如下,其肾脏病理可诊断为 ( )...

作者: rantiku 人气: - 评论: 0
问题 光镜、免疫荧光镜(免疫荧光:IgG和C3沿基底膜和血管系膜区沉积,呈颗粒状荧光)、电镜(箭头示上皮下驼峰状电子致密物)所示如下,其肾脏病理可诊断为 ( )
选项 A.新月体性肾小球肾炎 B.膜增生性肾小球肾炎 C.急性间质性肾炎 D.毛细血管内增生性肾小球肾炎 E.系膜增生性肾小球肾炎
答案 D
解析

猜你喜欢

发表评论
更多 网友评论0 条评论)
暂无评论

访问排行

Copyright © 2012-2014 恰考网 Inc. 保留所有权利。 Powered by tikuer.com

页面耗时0.0710秒, 内存占用1.03 MB, Cache:redis,访问数据库19次