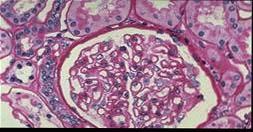
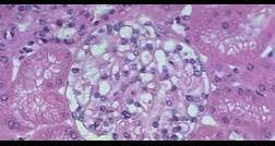
如图所示,关于这两张病理图片,下列哪项说法是正确的 ( )A.上图系膜增生,下图正常B.下图系膜增生,上图正常C.均正常D.均系膜增生...

作者: rantiku 人气: - 评论: 0
问题 如图所示,关于这两张病理图片,下列哪项说法是正确的 ( )
选项 A.上图系膜增生,下图正常 B.下图系膜增生,上图正常 C.均正常 D.均系膜增生 E.以上均不是
答案 C
解析

猜你喜欢

发表评论
更多 网友评论0 条评论)
暂无评论

访问排行

Copyright © 2012-2014 恰考网 Inc. 保留所有权利。 Powered by tikuer.com

页面耗时0.0460秒, 内存占用1.03 MB, Cache:redis,访问数据库20次