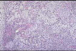
该肾病理图片你考虑哪种情况可能 ( )A.终末肾B.急性肾小管坏死C.新月体性肾炎D.毛细血管内增生性肾小球肾炎E.局灶性节段性硬化

作者: rantiku 人气: - 评论: 0
问题 该肾病理图片你考虑哪种情况可能 ( )
选项 A.终末肾 B.急性肾小管坏死 C.新月体性肾炎 D.毛细血管内增生性肾小球肾炎 E.局灶性节段性硬化
答案 A
解析

猜你喜欢

发表评论
更多 网友评论0 条评论)
暂无评论

访问排行

Copyright © 2012-2014 恰考网 Inc. 保留所有权利。 Powered by tikuer.com

页面耗时0.0360秒, 内存占用1.03 MB, Cache:redis,访问数据库19次