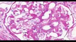
阅读下述两张病理图片(光镜PAS染色,免疫荧光IgA阳性)后,可诊断 ( )A.新月体性肾小球肾炎B.系膜增生性肾小球肾炎C.膜增生性肾小...

作者: rantiku 人气: - 评论: 0
问题 阅读下述两张病理图片(光镜PAS染色,免疫荧光IgA阳性)后,可诊断 ( )
选项 A.新月体性肾小球肾炎 B.系膜增生性肾小球肾炎 C.膜增生性肾小球肾炎 D.局灶性节段性硬化 E.IgA肾病
答案 E
解析

猜你喜欢

发表评论
更多 网友评论0 条评论)
暂无评论

访问排行

Copyright © 2012-2014 恰考网 Inc. 保留所有权利。 Powered by tikuer.com

页面耗时0.0553秒, 内存占用1.03 MB, Cache:redis,访问数据库19次