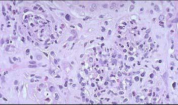
该病理图片示肾间质纤维化伴炎细胞浸润,可考虑 ( )A.急性间质性肾炎B.慢性间质性肾炎C.急性肾小管坏死D.毛细血管内增生性肾小球肾...

作者: rantiku 人气: - 评论: 0
问题 该病理图片示肾间质纤维化伴炎细胞浸润,可考虑 ( )
选项 A.急性间质性肾炎 B.慢性间质性肾炎 C.急性肾小管坏死 D.毛细血管内增生性肾小球肾炎 E.正常肾小球
答案 B
解析

猜你喜欢

发表评论
更多 网友评论0 条评论)
暂无评论

访问排行

Copyright © 2012-2014 恰考网 Inc. 保留所有权利。 Powered by tikuer.com

页面耗时0.0607秒, 内存占用1.03 MB, Cache:redis,访问数据库13次