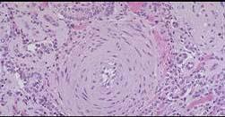
一高血压患者,肾病理显微镜下示:小动脉内膜增厚,管腔狭窄,呈洋葱皮样(onion skin)表现。其诊断为 ( )A.良性小动脉肾硬化B.恶性高血...

作者: rantiku 人气: - 评论: 0
问题 一高血压患者,肾病理显微镜下示:小动脉内膜增厚,管腔狭窄,呈洋葱皮样(onion skin)表现。其诊断为 ( )
选项 A.良性小动脉肾硬化 B.恶性高血压 C.硬化性肾炎 D.局灶节段性硬化 E.新月体性肾炎
答案 B
解析

猜你喜欢

发表评论
更多 网友评论0 条评论)
暂无评论

访问排行

Copyright © 2012-2014 恰考网 Inc. 保留所有权利。 Powered by tikuer.com

页面耗时0.0581秒, 内存占用1.03 MB, Cache:redis,访问数据库15次